La historia clínica de nuestro paciente:
Jose
Equipo responsable:
Tratamientos realizados:
- Ortodoncia con alineadores invisibles
- tratamiento rehabilitador con carillas estéticas
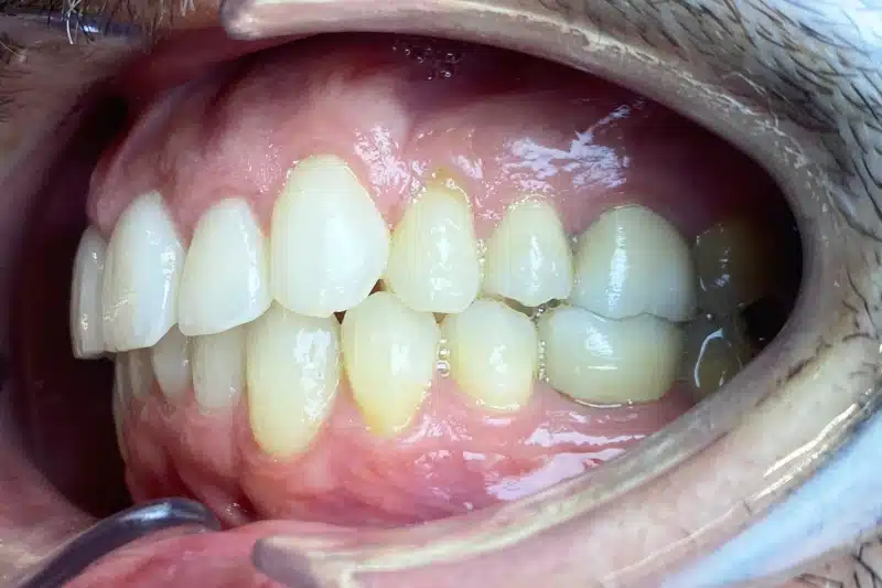
Cuando José llegó a nuestra clínica en Málaga, lo hizo con una idea muy clara: quería sentirse bien con su sonrisa. Tenía los dientes bastante apiñados y unas coronas antiguas que no le gustaban nada. Nos contó que muchas veces evitaba sonreír en fotos o al hablar, porque no se sentía cómodo.
Equipo responsable:
Cuando José llegó a nuestra clínica en Málaga, lo hizo con una idea muy clara: quería sentirse bien con su sonrisa. Tenía los dientes bastante apiñados y unas coronas antiguas que no le gustaban nada.
Nos contó que muchas veces evitaba sonreír en fotos o al hablar, porque no se sentía cómodo.
Tratamientos realizados:
- Ortodoncia con alineadores invisibles
- tratamiento rehabilitador con carillas estéticas
Equipo responsable:
Tratamientos realizados:
- Ortodoncia con alineadores invisibles
- Tratamiento rehabilitador con carillas estéticas
Cuando José llegó a nuestra clínica en Málaga, lo hizo con una idea muy clara: quería sentirse bien con su sonrisa. Tenía los dientes bastante apiñados y unas coronas antiguas que no le gustaban nada. Nos contó que muchas veces evitaba sonreír en fotos o al hablar, porque no se sentía cómodo.
Tras estudiar su caso, nuestras doctoras Blanca Barrio, Sonia Guerrero y Catina Ridao le propusieron un plan sencillo pero muy efectivo: primero alineadores invisibles para corregir la posición de los dientes, y después un tratamiento con carillas estéticas para renovar por completo su sonrisa.
Los alineadores le resultaron muy cómodos —nadie notaba que los llevaba— y, poco a poco, sus dientes fueron colocándose donde debían. Cuando llegó el momento de poner las carillas, cuidamos cada detalle: forma, color y proporciones, para que el resultado fuera natural y armonioso.
La diferencia
Un cambio que se nota por dentro y por fuera
El día que José se vio en el espejo por primera vez después del tratamiento, no pudo evitar sonreír de verdad. Su sonrisa ahora se ve fresca, natural y totalmente suya. Pero lo mejor de todo no es solo el cambio estético: es cómo se siente.
Hoy José sonríe sin complejos y transmite una confianza que se nota a primera vista.
“Ahora sí, me encanta mi sonrisa”, nos dijo. Y ese momento fue, sin duda, el mejor resultado de todo el proceso.
Tú también puedes sonreír así
Si te pasa algo parecido a lo que vivió José y quieres mejorar la estética de tu sonrisa, en nuestra clínica de Málaga estaremos encantados de ayudarte. Trabajamos con alineadores invisibles y carillas estéticas para conseguir resultados naturales y que te hagan sentir bien contigo mismo.
Otras historias
Carillas dentales composite
Carillas dentales ceramica
Restauración completa