La historia de nuestro paciente:
Richard
Equipo responsable:
Tratamientos realizados:
- Ortodoncia con alineadores invisibles
- tratamiento rehabilitador con carillas estéticas
Cuando José llegó a nuestra clínica en Málaga, lo hizo con una idea muy clara: quería sentirse bien con su sonrisa. Tenía los dientes bastante apiñados y unas coronas antiguas que no le gustaban nada. Nos contó que muchas veces evitaba sonreír en fotos o al hablar, porque no se sentía cómodo.
Equipo responsable:
Cuando José llegó a nuestra clínica en Málaga, lo hizo con una idea muy clara: quería sentirse bien con su sonrisa. Tenía los dientes bastante apiñados y unas coronas antiguas que no le gustaban nada.
Nos contó que muchas veces evitaba sonreír en fotos o al hablar, porque no se sentía cómodo.
Tratamientos realizados:
- Ortodoncia con alineadores invisibles
- tratamiento rehabilitador con carillas estéticas
Equipo responsable:
Tratamientos realizados:
- All-on-6 superior e inferior
- Prótesis de carga inmediata
- Rehabilitación completa
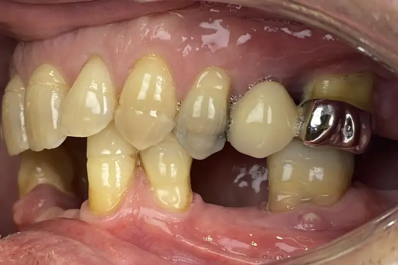
Richard llegó a Málaga desde Inglaterra con un equipaje que pesaba más que su maleta: miedo al dentista y varios intentos fallidos de tratamiento. Había pasado años evitando sonreír en público, comiendo con cuidado para no sentir dolor y posponiendo reuniones sociales por vergüenza. Su mayor deseo era sencillo y profundo a la vez: recuperar una sonrisa estable y poder masticar sin miedo. En ByB Dental, entendimos desde la primera visita que su historia no iba de dientes, iba de confianza
Tras una valoración clínica y radiológica completa, diagnosticamos pérdida dentaria avanzada y un compromiso funcional importante en ambas arcadas. Le propusimos una rehabilitación integral con implantes dentales en Málaga mediante la técnica All-on-6 en maxilar superior e inferior, con prótesis fija de carga inmediata. Explicamos cada paso con calma, resolviendo dudas y estableciendo una ruta clara para que Richard supiera qué esperar en cada fase.
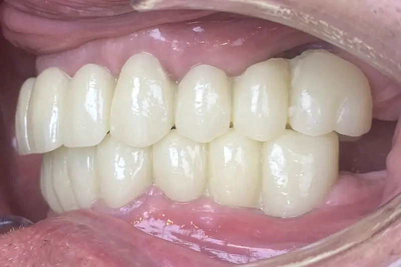
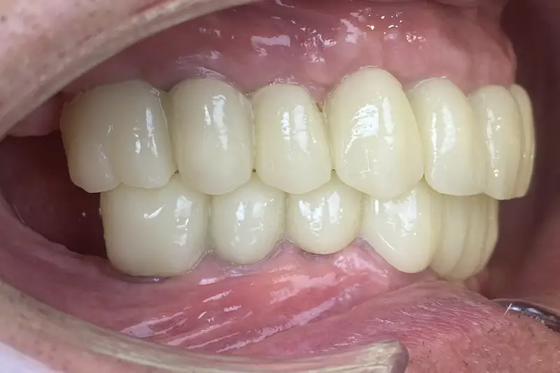
El plan se organizó así: primero, la planificación digital para determinar la posición ideal de los seis implantes en cada arcada. Después, la cirugía guiada en un solo acto. En la misma cita, colocamos una prótesis fija provisional atornillada (carga inmediata), de modo que Richard salió de la clínica con una nueva sonrisa funcional desde el primer día.
La diferencia
Volver a morder la vida
El cambio fue inmediato en su vida diaria: desayunos sin miedo a que se despegue nada, comidas con amigos en el centro de Málaga y la tranquilidad de poder masticar frutos secos o manzana. En el espejo, Richard se reconoció con una sonrisa completa y natural. La fonación mejoró y la mandíbula dejó de “cansarse” al final del día. Más allá de la estética, recuperó funcionalidad y confianza.
Para él, el tratamiento no fue solo dental: fue recuperar momentos cotidianos que había dado por perdidos
¿Te pasa algo parecido?
Si te identificas con la historia de Richard y buscas una solución fija y estable, en ByB Dental en Málaga podemos valorar tu caso y diseñar un plan a tu medida. Da el primer paso hacia una sonrisa funcional y segura
Otras historias
Carillas dentales composite
Carillas dentales ceramica
Restauración completa